
目・二重まぶた
お悩みや希望にあわせた治療方法をご提案。
目はその人を印象付けるパーツの1つです。パッチリした印象、柔らかな印象になる二重まぶたについて、目頭切開、目尻切開、たるみ取り等のお悩みや希望にあわせた治療方法を提案させていただきます。
二重まぶた
埋没法
COSMETIC SURGERY
極細の専用の糸で固定して、二重を作成します二重のクセがつくことで、自然な二重まぶたが完成します。
治療後の腫れも少なく、患者さんにとっても負担の少ない方法です。
当院で、埋没法で用いる糸は、専用の極細の糸で、手術後の腫れがほとんどないように治療させていただいています短時間で二重まぶたを作ることができます埋没法は、気軽に受けていただくことができる方法です。
埋没法は切開不要のためダウンタイムが短めなことも特徴です。
ワンループ1点固定法

ワンループ1点固定法は、医療用の極細糸をまぶたの内側から通し、1ヶ所をループ状に固定する施術方法です。点で支えながらも線で留めるような安定感を出せるため、自然な二重ラインを作りやすいのが特長です。
気軽に二重まぶたにしたい方や自然な末広型二重にしたい方におすすめです。
ダブルループ自然癒着法

ダブルループ自然癒着法は、医療用の極細糸を使用しまぶたの内側で長めの特殊なループ状に固定する施術方法です。点ではなく“面で支える構造”に近いため、ラインの安定性が高く、長期的なキープ力が期待できます。
また、糸によって内部組織が自然に癒着することで、よりナチュラルで持続性のある二重ラインを形成します。
ワンループかダブルループかは、医師とのカウンセリングでまぶたの状態やご希望を丁寧に確認しながら決定します。
このような方におすすめします
- ダウンタイムを短くしたい方
- できるだけ自然な仕上がりにしたい方
- はじめて二重整形をする方
- まぶたが比較的薄めの方
- 強いたるみがない方
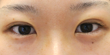
施術例

手術前

手術直後

手術後2週間
| 治療内容 | 埋没法による二重治療 |
| 治療期間・回数 | 1回手術した直後と術後2週間の症例 |
| 費用(税込) | 埋没法(ワンループ)両目 55,000円(ダブルループ)両目 82,500 円 ※施術当時の価格です。価格改定などにより実際の価格と異なる場合があります。 |
| リスク・副作用 | 腫れ・内出血、左右差など |
リスク・副反応
手術後の腫れ・内出血、左右差(もともとある左右差を完全に対象にすることはできません)、仕上がりがイメージと違うなど。
よくあるご質問
CONTRAINDICATION
-
カウンセリング当日の治療はできますか?
-
はい、できますそのご希望がある場合は、予約される際に治療も希望していることを伝えてください。
-
アイメイクはできますか?
-
治療後3日目からしていただけます。
-
コンタクトレンズはできますか?
-
手術後の腫れが引けば、していただくことができます。
-
治療後に腫れはありますか?
-
埋没法での腫れはほとんど気にならないくらいでの腫れになりますただし、内出血を生じた場合には、腫れやや気になることがありますが、必ず引いてきます。
-
何歳でもできますか?
-
まぶたの状態によります年齢とともに、まぶたの弛みがあるような場合ですと、埋没法以外の治療がよいことがあります診察で確認します。
-
埋没法での治療が希望ですが、希望の二重になりますか?
-
まぶたのかたちや状態によります希望するまぶたの状態によっては、埋没法では困難な場合であれば、切開法による治療をすすめることもあります。
-
授乳中でもできますか?
-
授乳中でもできますが、授乳において消炎剤等の使用を避けたほうがよい場合もありますので、診察の際に確認して下さい。
-
片側だけ二重でないのですが、片側だけ治療することはできますか?
-
できます。
二重まぶた ミニ切開法
COSMETIC SURGERY
埋没法では、作った二重が何度も外れてしまう方やまぶたの皮膚が厚い人は、元に戻ってしまったり思い通りのラインにならない場合がありますこのような方には、半永久的に二重にすることができるミニ切開法によって、はっきりした二重のラインに仕上がります通常の切開法と比べると皮膚の切開も1cm程度ですので、傷跡を極力つけないようにしたい方や、ダウンタイムを短くしたい方におすすめの方法です。
このような方におすすめします
- 埋没法ではラインがつきにくい方
- 幅の広い二重が希望の方
リスク・副反応
手術後の腫れ・内出血、左右差(もともとある左右差を完全に対象にすることはできません)、仕上がりがイメージと違うなど
二重まぶた 切開法
COSMETIC SURGERY
埋没法では、作った二重が何度も外れてしまう方やまぶたの皮膚が厚い人は、元に戻ってしまったり思い通りのラインにならない場合がありますこのような方には、半永久的に二重にすることができる切開法をおこなうことによって、はっきりした二重のラインに仕上がります腫れぼったいまぶたの脂肪も取り除くことができるので、すっきりした二重になることができます。
このような方におすすめします
- 埋没法でラインがつきにくい方
- まぶたが厚い方
- 幅広い二重や平行型の二重まぶたを希望される方
施術例

手術前

手術6ヶ月後
| 治療内容 | 部分切開による二重治療 |
| 治療期間・回数 | 1回手術施術した6ヶ月後の症例 |
| 費用(税込) | 両目 209,000円 ※施術当時の価格です。価格改定などにより実際の価格と異なる場合があります。 |
| リスク・副作用 | 赤み、腫れなど |
リスク・副反応
手術後の腫れ・内出血、左右差(もともとある左右差を完全に対象にすることはできません)、仕上がりがイメージと違うなど
よくあるご質問
CONTRAINDICATION
-
カウンセリング当日の治療はできますか?
-
はい、できますそのご希望がある場合は、予約される際に治療も希望していることを伝えてください。
-
アイメイクはできますか?
-
約1週間で抜糸しますので、その翌日からアイメイクは可能です。
-
ダウンタイムについて、教えてください
-
腫れは、手術の翌日・翌々日に最も強くでて、その後徐々に引いてきます内出血は、生じた際には、紫色や赤色としてあらわれます。その後、吸収されてきますので、黄色くなり、なくなってきます。
-
片側だけミニ切開することはできますか?
-
できます。
-
切開法の中縫いはしますか?
-
しないです。切開法であれば、糸を残すように手術はしません。
-
他院で、埋没法をしました。手術の際に、糸はとることはできますか?
-
基本的に、切開法で二重まぶたにする場合には、埋没法の際の糸は不要になりますので、除去します。除去する際の追加の料金はかかりません。
二重まぶた 上まぶた
たるみとり手術
COSMETIC SURGERY
年齢とともに、上まぶたの皮膚はたるみによって余ってきます。
余っている皮膚を取り除くことで、まぶたをすっきりさせます。
二重まぶたのラインでタルミを取り除く方法のほか、眉毛下でたるみを取り除く方法がありますたるみの状態がなくなり、すっきりとした目元を得ることができます。
リスク・副反応
手術後の腫れ・内出血。左右差、眉位置が下がることによるイメージの変化。
眉下切開の場合は、抜糸後傷痕はしばらく赤みがあります。
目頭切開
COSMETIC SURGERY
蒙古ヒダがつよく、目と目が離れた感じがあったり、幅の広い平行型の二重を希望する場合に、目頭切開をおこなうことよって、目元を大きく魅せることができます二重まぶたも、平行型にすることができるので、よりパッチリとした、目にすることができます傷跡も、小さな手術になりますので、安心して治療を受けていただくことができます。
リスク・副反応
手術後の腫れ・内出血。左右差。傷痕はしばらく赤みがあります。
目尻切開
COSMETIC SURGERY
目尻側を切開することにより、目を大きく魅せることができます。治療後1週間糸がついている状態になりますが、腫れや内出血のリスクが比較的小さな治療になりますので、ダウンタイムが短めの治療になります。
リスク・副反応
手術後の腫れ・内出血。左右差。
目の下のクマ
COSMETIC SURGERY
目の下のふくらみやクマは、加齢により目元の支えが弱くなることで起こります。下まぶたの内側にある脂肪が前に出ることで影ができ、疲れて見えたり、実年齢より老けた印象になってしまうことも。
脂肪は「内・中・外」の3つに分かれており、ふくらみ方は一人ひとり異なります。当院では、メスを使わずCO2レーザーでまぶたの裏側からアプローチし、必要な脂肪のみを取り除きます。表面に傷が残らないため、自然で明るい印象の目元を目指せます。

“切らない”目の下のクマ取り(下眼瞼脱脂)
CO2レーザーを用いた下眼瞼脱脂は、従来のメスによる切開法と比べて、身体への負担を抑えながら行える施術です。施術時間はおよそ30〜60分程度。できる限り短時間で丁寧に処置を行うことで、出血を最小限に抑え、腫れなどのダウンタイム軽減にも配慮しています。皮膚表面を切開しないため抜糸の必要はありません。
アプローチは下まぶたの裏側(結膜)から行います。顔の表面にメスを入れないため、外から見える傷跡の心配がほとんどありません。結膜は回復力に優れた組織であり、傷口は通常1〜2週間ほどで自然に落ち着いていきます。
さらに、余分な眼窩脂肪を適切に除去することで、目の下のふくらみは長期的な改善が期待できます。脂肪細胞そのものを取り除くため、多くの場合、再び同じような膨らみが生じにくいとされています。
ふくらみや影に悩まされない、すっきりとした明るい目元へ。
一度の施術で、長く続く変化を目指せる治療です。
このような方におすすめします
- 目の下の膨らみが影になり、クマのように見えてしまう
- 下まぶたのゆるみで、実年齢より老けた印象になる
- 「疲れてる?」と聞かれることが増えた
- 目の下のちりめんジワや細かいシワが目立ってきた
- メスを使わず、できるだけ腫れを抑えた治療を希望している
- できるだけ長く効果が続く施術を選びたい
リスク・副反応
腫れ内、出血、仕上がりの左右差、下瞼にくぼみが生じる可能性、脂肪を除去した部分の皮膚に小じわが増える可能性。
よくあるご質問
CONTRAINDICATION
-
取った脂肪は再び膨らむことはありますか?
-
ほとんどの場合、一度脂肪を除去すれば再び膨らむことはありません。ごくまれに加齢により軽く膨らむことがありますが、脂肪を取っておくことで将来の目元のたるみ予防にもつながります。早めの治療が、将来の大きな手術を避けるポイントです。
-
脂肪を取りすぎて目の下が窪むことはありますか?
-
適切な量を見極めて除去するため、取りすぎによる窪みの心配はほとんどありません。ただし、もともと下まぶたの下に凹みがある場合は、脂肪を除去すると平らになりますが、凹みが気になることがあります。その際はヒアルロン酸で整えるとより自然で美しい目元になります。
-
脂肪を取ると皮膚がたるみませんか?
-
大量の脂肪を除去すると皮膚が余ることがあります。その場合、脂肪と同時に皮膚のたるみを調整することも可能です。当院では自然で若々しい仕上がりを目指して、必要に応じて両方の処置をご提案しています。
目の下のしわ
COSMETIC SURGERY
目の下のしわについては、表情筋が関与している場合には表情筋の作用を弱めるボツリヌストキシンによる治療を行っています。 ただそれだけでなく、目もとの小じわが気になる場合にはヒアルロン酸注入やスネコス注射をおこなうことで気になる部分の症状状態を改善させます。
リスク・副反応
注射針による腫れ・内出血。治療後の左右差。過矯正しませんので不足がある場合には再度追加治療が必要になることがあります。
目の下のしわにはスネコス注射もおすすめです。
料金
PRICE
目・二重まぶた
埋没法 ワンループ
両目 55,000 円
片目 44,000 円
埋没法 ダブルループ
両目 82,500 円
片目 55,000 円
ミニ切開
両目 209,000 円
全切開法
両目 209,000 円
二重切開時の
埋没糸抜糸
33,000 円
黒目おおきく手術
両目 495,000 円
切らない眼瞼下垂手術
両目 308,000 円
(税込価格)
目頭切開
両目
132,000 円
(税込価格)
目尻切開
両目
132,000 円
(税込価格)
垂れ目形成
両目
198,000 円
(税込価格)
上まぶた
たるみとり
両目 275,000 円
(税込価格)
上眼瞼リフト
眉毛下式たるみとり
両目 275,000 円
(税込価格)
下まぶた
表ハムラ手術
両目 385,000 円
下まぶた切らないクマとり
両目 165,000 円
(税込価格)
埋没糸除去
当院
33,000 円
他院
55,000 円
(税込価格)

